Decompression illness

A 30-year-old recreational diver is brought by ambulance to your small coastal ED. He collapsed shortly after emerging from the …

2025 Term 4 Wk 7 Archived
Paediatric polytrauma with tension pneumothorax

A 13 month old girl has been taken to the ED by the ambulance service. She was run over in …

2025 Term 4 Wk 4 Archived
Cough, fever and unable to lie flat

A 6-year-old girl presents to a large mixed ED with 2 weeks of cough and intermittent fever. For the past …

2025 Term 3 Wk 9 Archived
Chest pain and syncope

A 35-year-old woman presents to the ED with central chest pain and two syncopal episodes.

2025 Term 3 Wk 6 Archived
Progressive weakness

A 45-year-old man presents to the ED with progressive weakness, difficulty swallowing, and shortness of breath. He has no history …

2025 Term 3 Wk 4 Archived
Paediatric pneumonia

An 8-year-old girl has presented to your rural ED with fevers, shortness of breath and a productive cough for the …

2025 Term 3 Wk 2 Archived
Epigastric pain and progressive dyspnoea

A 48-year-old man, well-known to your department with alcohol dependence and chronic pancreatitis, presents with acute epigastric pain. He has …

2025 Term 3 Wk 2 Archived
Pneumonia

A 30-year-old homeless male presents to your tertiary ED with a productive cough, fever, shortness of breath and haemoptysis. He …

2025 Term 3 Wk 2 Archived
Pneumomediastinum

A 24-year-old female with a history of asthma presents to the ED with recent viral infection associated with cough and …

2025 Term 3 Wk 2 Archived
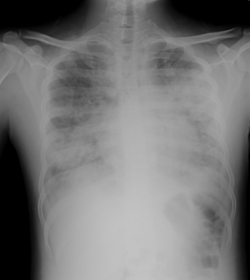
Severe pneumonia in infant

An 11-month-old girl is brought into your rural emergency department with suspected community acquired pneumonia after being unwell for 5 …

2025 Term 2 Wk 7 Archived
HIV with fever, cough and confusion

A 45-year-old man known to be HIV positive, presents to your department with fever, nonproductive cough, weight loss and mild …

2025 Term 2 Wk 3 Archived
Systemic lupus erythematosus complications

A 28-year-old female presents to the Emergency Department with a 2-day history of fever, chest pain, and worsening shortness of …

2025 Term 2 Wk 2 Archived
Obesity hypoventilation syndrome

A 44-year-old Polynesian woman presents with a 4-day history of progressive dyspnoea and somnolence. She has a BMI greater than …

2025 Term 1 Wk 5 Archived
Pleural effusion and pleurocentesis

A 60-year-old man presents with shortness of breath. You intend to perform pleurocentesis as part of your management.

2025 Term 1 Wk 5 Archived
Massive haemoptysis

A 69-year-old woman presents with a 1-hour history of haemoptysis, coughing up approximately two cups of bright red blood. She …

2025 Term 1 Wk 5 Archived
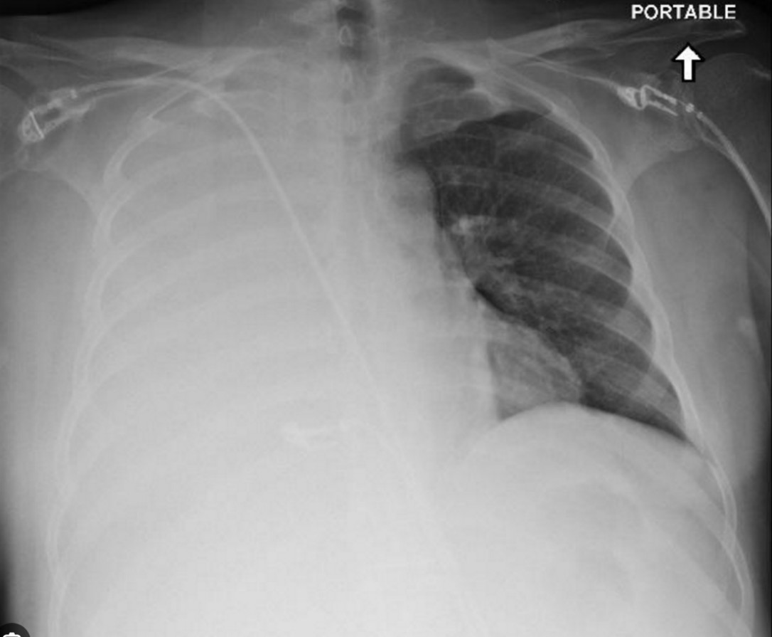
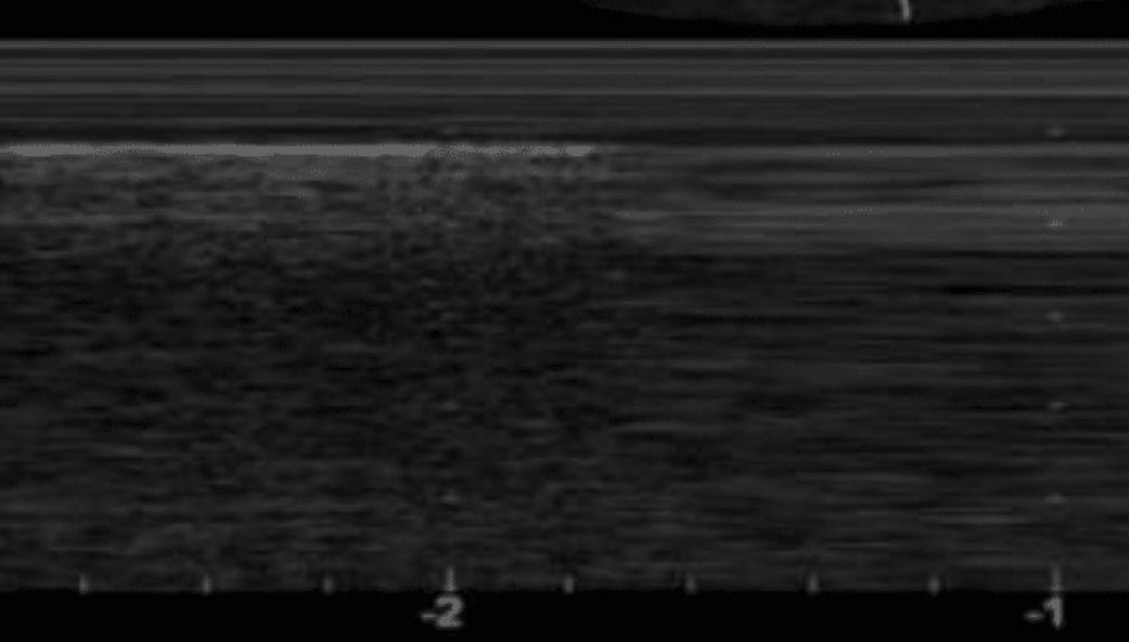
Spontaneous pneumothorax

A 24-year-old male presents to the ED 10 hours after developing sudden onset pleuritic chest pain on deep breathing. He …

2025 Term 1 Wk 5 Archived
Mycoplasma pneumonia in child

You are the supervising consultant in a metropolitan tertiary ED. Your junior registrar has come to you asking for advice …

2025 Term 1 Wk 5 Archived
Respiratory sepsis with hypoxia

A 78-year-old woman with COAD, diabetes and hypothyroidism presents with shortness of breath and respiratory sepsis. On arrival she looks …

2025 Term 1 Wk 3 Archived
Ventilated severe asthma with deterioration

A young woman with an estimated weight of 50 kg has just been intubated for severe asthma and is currently …

2025 Term 1 Wk 2 Archived
Paediatric blunt chest trauma

You are the resuscitation consultant in a paediatric major trauma centre. A 12-year-old girl is brought in by her parents …

2024 Term 4 Wk 6 Archived
Active pulmonary tuberculosis

A 45-year-old Nepalese man presents to your Emergency Department with a 2-week history of cough, fever, haemoptysis and weight loss …

2024 Term 4 Wk 4 Archived
Chest pain in sickle cell disease

A 25-year-old man with sickle cell disease presents with non-productive cough, severe central chest pain and hypoxia. Vitals are as …

2024 Term 3 Wk 6 Archived
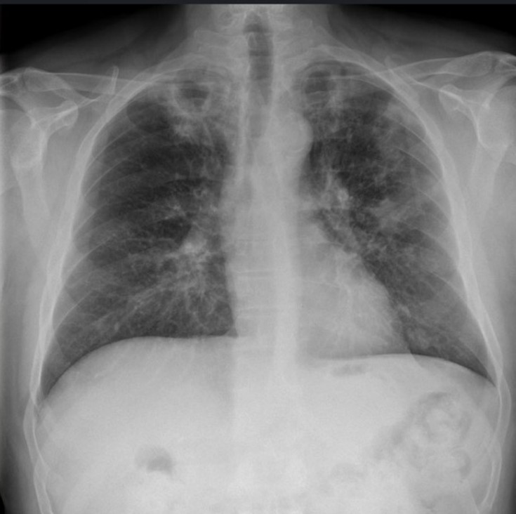
Unilateral pleural effusion

A 75-year-old woman presents with increasing exertional dyspnoea over several weeks. Chest X-ray demonstrates a unilateral pleural effusion and a …

2024 Term 3 Wk 6 Archived
COPD exacerbation

A 75-year-old man presents with severe shortness of breath due to an infective exacerbation of COPD. You are considering NIV …

2024 Term 3 Wk 6 Archived