Projectile vomiting in 5-week-old

A 5-week-old boy has been brought to your ED with projectile vomiting.

2025 Term 4 Wk 6 Archived
Paediatric constipation

A 4-year-old boy is brought to the ED by his parents with abdominal discomfort, reduced appetite and intermittent distress over …

2025 Term 3 Wk 3 Archived
Abdominal pain

A 65-year-old man presents to your Emergency Department with central abdominal pain radiating to the back associated with nausea and …

2025 Term 3 Wk 3 Archived
Abdominal pain

A 25-year-old woman presents with sudden onset RUQ and RIF pain. She is febrile, BP 98/75, HR 100.

2025 Term 3 Wk 3 Archived
Spontaneous bacterial peritonitis

A 58-year-old woman presents with abdominal discomfort, fever and altered mental status. She has a history of liver cirrhosis with …

2025 Term 3 Wk 3 Archived
Variceal upper GI bleed

A 65 year old woman has been taken to the ED with large volume haematemesis. She has a history of …

2025 Term 3 Wk 1 Archived
Neonatal jaundice

A 15-day old male is referred in by community midwives for ongoing jaundice. He was born at 39 weeks via …

2025 Term 2 Wk 7 Archived
Perianal abscess

A 45-year-old male presents to your emergency department with a three-day history of worsening perianal pain. He describes a dull, …

2025 Term 1 Wk 6 Archived
Pruritis

A 70-year-old woman presents with a one-week history of pruritus. She is normally well and does not take any regular …

2025 Term 1 Wk 6 Archived
Decompensated alcoholic liver disease

A 42-year-old male with known alcoholic liver disease who is still drinking alcohol is brought in by relatives with a …

2025 Term 1 Wk 6 Archived
Paediatric intussusception

A 12-month-old boy presents to the ED with abdominal pain. You suspect intussusception.

2025 Term 1 Wk 6 Archived
Haemorrhagic colitis

You are the Emergency Consultant in a major referral centre. A 23 year old male presents with a 3 day …

2024 Term 4 Wk 4 Archived
Severe abdominal pain in a school-aged child

A 12-year-old boy presents with severe abdominal pain and vomiting. On arrival he is groaning and pale with the following …

2024 Term 3 Wk 7 Archived
Suspected acute cholecystitis with normal blood tests

A 40-year-old woman presents with right upper quadrant pain. Despite normal laboratory results, acute cholecystitis is suspected and bedside ultrasound …

2024 Term 3 Wk 7 Archived
Elderly abdominal pain

An 80-year-old patient from a high-level care nursing home presents with constipation, abdominal distension and confusion.

2024 Term 3 Wk 7 Archived
Gastroenteritis

A husband and wife present to the emergency department after a date night at a restaurant. Shortly after returning home, …

2024 Term 3 Wk 7 Archived
Jaundice

A 47-year-old male presents to your ED complaining of a change in his skin colour. He has no known past …

2024 Term 2 Wk 13 Archived
Decompensated cirrhosis with ascites

A 57-year-old patient with alcoholic liver cirrhosis presents with abdominal pain, tense ascites and fever. Vital signs are as follows …

2024 Term 2 Wk 13 Archived
Neonatal bilious vomiting

A 2-week-old male infant has presented to a regional mixed ED with 3 episodes of vomiting over the past 24 …

2024 Term 2 Wk 8 Archived
Haematemesis

A 60-year-old man has presented to your ED with a history of haematemesis. He is a chronic alcoholic. Vitals are …

2024 Term 1 Wk 6 Archived
Child with PR bleeding

The concerned parents of a 4-year-old boy have presented to your urban district hospital with their son who complains of …

2023 Term 3 Wk 6 Archived
Checkpoint inhibitor colitis

A 63-year-old male comes into your ED. Hey! You’ve met him before; metastatic melanoma, brain mets, pretty much coning then, …

2023 Term 3 Wk 6 Archived
Thrombosed haemorrhoid

A 30-year-old male with perianal pain attends your rural emergency department. On examination, you find a thrombosed external haemorrhoid.

2023 Term 3 Wk 1 Archived
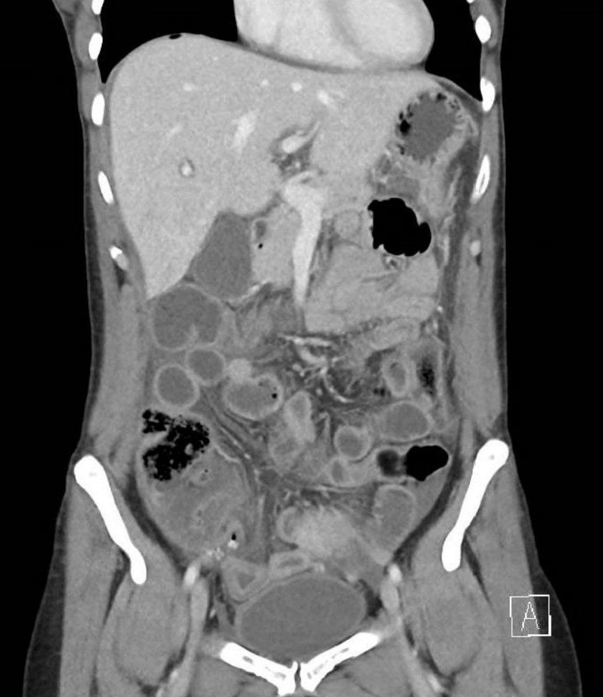
Small bowel obstruction

A 60-year-old woman presents to your Emergency Department with two days of increasing abdominal pain and vomiting. She has no …

2023 Term 2 Wk 12 Archived