Penetrating chest trauma

A 35-year-old man presents following an industrial injury. His vital signs are currently stable.

2024 Term 4 Wk 6 Archived
Acute compartment syndrome

A 25-year-old man presents following a motorbike crash with an obvious injury to his left leg. You suspect compartment syndrome.

2024 Term 4 Wk 5 Archived
Foot injury

A 20-year-old female is brought in by ambulance after a dirt bike accident. She has a painful and swollen right …

2024 Term 4 Wk 5 Archived
Obstetric trauma in third trimester

A 29-year-old female who is at 30/40 gestation has been involved in a 60km/hr MVA. She is complaining of lower …

2024 Term 4 Wk 1 Archived
Electrical injury

A 40-year-old electrician presents following an electrical injury at work.

2024 Term 3 Wk 12 Archived
Infant head injury

A 2-month-old baby boy is reviewed after his father slipped while carrying him, resulting in the baby hitting his head …

2024 Term 3 Wk 1 Archived
Cervical spine injury

A 35-year-old man presents after falling 2 metres from a ladder with severe neck pain. A CT of the cervical …

2024 Term 2 Wk 11 Archived
Major burns with inhalation injury

A 23-year-old man is rescued from a fire after being trapped in a storeroom. His obesrvations are : GCS 13 …

2024 Term 2 Wk 11 Archived
Penetrating back injury with renal trauma

A 35-year-old man sustains a single stab wound to the left side of his back. The incoming ambulance team have …

2024 Term 2 Wk 11 Archived
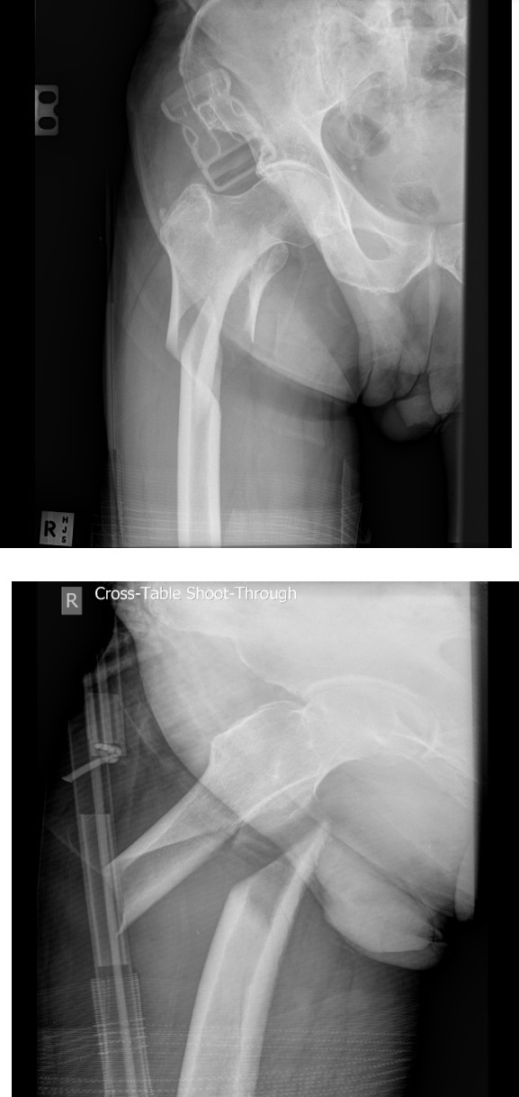
Pelvic trauma with haemorrhagic shock

A 34-year-old man is brought to a tertiary ED after being hit by a car while crossing the street.

2024 Term 2 Wk 11 Archived
Mass casualty incident preparation

A grandstand has collapsed at a football ground with up to 400 injured people. You are the duty consultant in …

2024 Term 1 Wk 11 Archived
Major incident blast injuries

A bomb has detonated at a music concert and a major incident has been declared. Over 40 casualties with blast …

2024 Term 1 Wk 11 Archived
Epidural haematoma with rural deterioration

A previously well 35-year-old man presents to a rural ED 90 km from the nearest trauma centre following an isolated …

2024 Term 1 Wk 11 Archived
Major burns and inhalation injury

A 45-year-old woman is brought to the ED after extrication from a house fire with significant burns and smoke exposure.

2024 Term 1 Wk 3 Archived
Trauma in pregnancy

A 29-year-old woman at 33 weeks gestation presents following an MVA (car vs tree at 50 km/h). She was restrained …

2024 Term 1 Wk 3 Archived
Paediatric penetrating trauma cardiac arrest

An 8-year-old boy has been crushed by shelving while playing in a shed. During extrication a piece of metal penetrated …

2024 Term 1 Wk 3 Archived
Eye injury

A 21-year-old male presents after sustaining an eye injury while hammering metal at work. An image of the eye is …

2023 Term 4 Wk 13 Archived
Cervical spine injury with neurogenic shock

A 32-year-old man is involved in an amateur mixed martial arts bout and is slammed onto the ground. He complains …

2023 Term 4 Wk 13 Archived
Train crash

There has been a collision between a passenger train and a goods train. There are a large number of serious …

2023 Term 3 Wk 10 Archived
Trauma retrieval decision

You are a member of a retrieval team tasked by helicopter to retrieve a 25-year-old from a small peripheral country …

2023 Term 3 Wk 10 Archived
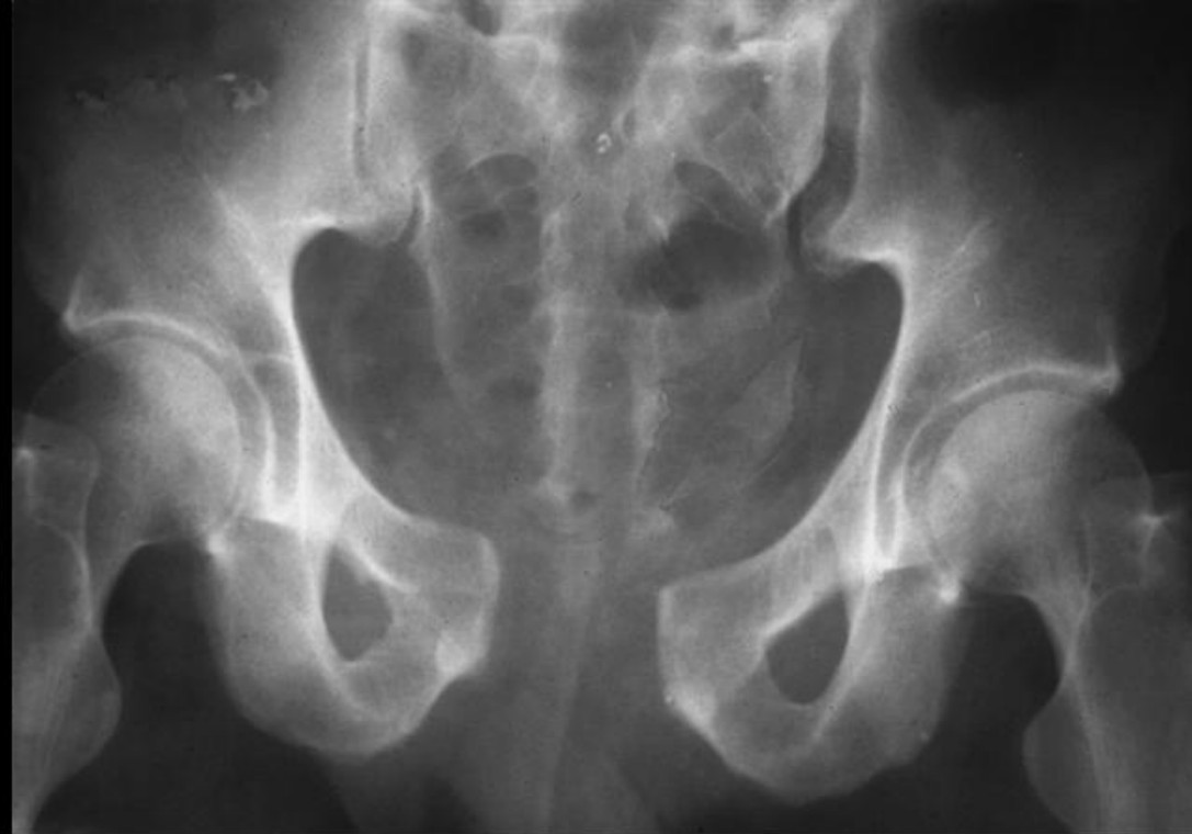
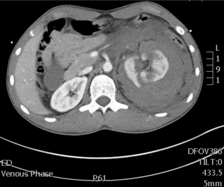
Renal trauma

A 26-year-old man has been brought to the ED after falling from a horse. A CT scan has been performed.

2023 Term 3 Wk 4 Archived
Penile amputation

You are the senior medical officer in charge at a tertiary hospital ED. You receive advance notification that an ambulance …

2023 Term 3 Wk 4 Archived
Pelvic crush injury

A 22-year-old Ubereats delivery man is brought in by retrieval to your tertiary ED having been run over by a …

2023 Term 3 Wk 4 Archived
Dog bite hand

A 29-year-old woman presents after sustaining a dog bite to her non-dominant hand, 3 hours prior. She is a masseuse …

2023 Term 3 Wk 4 Archived