Want to track your progress? You can complete this SAQ as a guest, but logging in to a free account lets you save attempts, review scores, and see your progress by category. Log in or create an account .

A 34-year-old man is brought to a tertiary ED after being hit by a car while crossing the street.

Pelvic trauma with haemorrhagic shock

1. Describe the abnormalities shown on the pelvic X-ray. 3 marks

β˜… β˜… β˜… β˜… β˜…

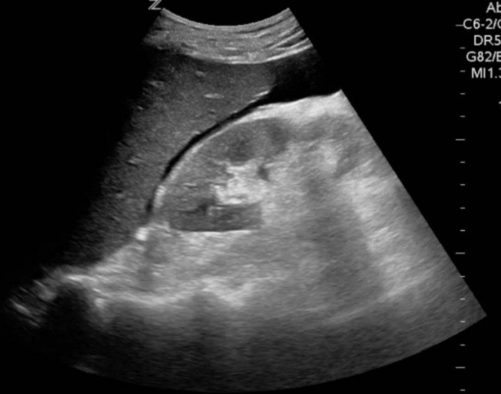
An image from the RUQ view of his FAST scan is provided.

2. Interpret the FAST scan image. 1 mark

Question image
β˜… β˜… β˜… β˜… β˜…

His CXR is normal and his vitals are as follows : GCS 13 (E3V4M6) HR 140 BP 70/50 RR 24 Sats 99% RA

3. List three end-points you would target during initial resuscitation. 3 marks

β˜… β˜… β˜… β˜… β˜…

4. State 3 differences between ROTEM-guided and ratio-guided resuscitation. 3 marks

β˜… β˜… β˜… β˜… β˜…

5. State six factors you would consider when deciding whether to perform a CT scan, including the relevance of each. 6 marks

β˜… β˜… β˜… β˜… β˜