Anaphylactic shock with allergic myocardial infarction

A 59-year-old woman is brought to the resus room by paramedics after becoming weak, dizzy and nauseated while getting her …

2024 Term 4 Wk 3 Archived
Undifferentiated overdose

You are the consultant on shift in a rural emergency department. A 42-year-old man is brought in by ambulance service …

2024 Term 3 Wk 11 Archived
Nitrous oxide inhalation injury

A 21-year-old man presents one hour after inhaling nitrous oxide directly from a medical-grade canister. He develops throat and chest …

2024 Term 3 Wk 3 Archived
Blocked tracheostomy with haemorrhage

A patient with amyotrophic lateral sclerosis presents with sats of 75%, central cyanosis and poor respiratory effort. He has a …

2024 Term 3 Wk 3 Archived
Post-splenectomy sepsis

A 54-year-old man presents to emergency with general lethargy, fatigue and fevers and chills. He had a splenectomy following a …

2024 Term 3 Wk 3 Archived
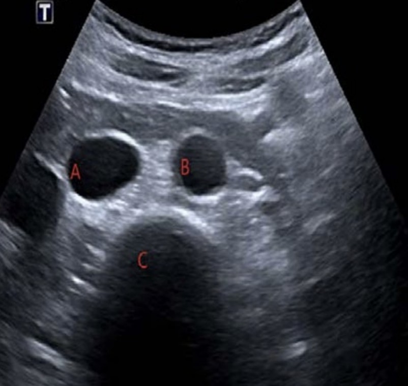
Dizzy and myalgias with CCF

A 65-year-old man is bought into ED by his wife with myalgia and dizziness. He has a past history of …

2024 Term 3 Wk 2 Archived
Hanging

A 52-year-old man is brought to the Emergency Department after a hanging. He was found in PEA arrest with ROSC …

2024 Term 3 Wk 2 Archived
Refractory cardiac arrest and ECMO

A 59-year-old man has a witnessed collapse at the airport. CPR was immediately commenced. The ambulance will arrive to your …

2024 Term 3 Wk 2 Archived
Collapse with hypotension

A young female presents to your Emergency Department with hypotension and collapse.

2024 Term 3 Wk 2 Archived
Floppy neonate

A 2-week-old male infant is rushed to your ED by his concerned parents. The child is floppy with reduced LOC. …

2024 Term 3 Wk 1 Archived
Tetralogy of Fallot with hypercyanotic spell

A 5-month-old boy with known Tetralogy of Fallot presents cyanosed and distressed and is awaiting definitive surgical repair.

2024 Term 3 Wk 1 Archived
Collapsed neonate with hypoglycaemia

A 5-day old male baby is brought in by his mother for decreased breast-feeding. On examination the child is flat …

2024 Term 3 Wk 1 Archived
Pelvic trauma with haemorrhagic shock

A 34-year-old man is brought to a tertiary ED after being hit by a car while crossing the street.

2024 Term 2 Wk 11 Archived
Presumed renal colic

A 75-year-old man is referred by his GP for presumed renal colic. He has worsening flank pain and is now …

2024 Term 2 Wk 9 Archived
Unresponsive infant

A 6-month-old girl is brought to a tertiary ED unrousable after a nap. She was reportedly well earlier that morning. …

2024 Term 2 Wk 9 Archived
Snake envenomation with collapse

A 62-year-old woman collapses after a snake bite in southern NSW. She is first seen at a peripheral hospital and …

2024 Term 2 Wk 7 Archived
Paediatric penetrating trauma cardiac arrest

An 8-year-old boy has been crushed by shelving while playing in a shed. During extrication a piece of metal penetrated …

2024 Term 1 Wk 3 Archived
Subarachnoid haemorrhage

A 43-year-old woman arrives via ambulance to your regional ED at 8pm. She had a sudden worsening of a 2-day …

2023 Term 4 Wk 12 Archived
Post-tonsillectomy haemorrhage

You are the consultant in charge of a tertiary ED. A 2000h a 3-year-old, 15kg male child presents with his …

2023 Term 4 Wk 11 Archived
Paediatric cardiac arrest from box jellyfish envenomation

You are working at a regional hospital in a coastal city in northern Australia. You are pre-alerted that the ambulance …

2023 Term 4 Wk 7 Archived
Shocked neonate

An 8-day-old infant presents hypotonic, centrally cyanotic and cool peripherally. Peripheral oxygen saturation reads 70% with poor trace. The infant …

2023 Term 4 Wk 7 Archived
Smoke inhalation incident

You receive notification of 15 casualties that will present to your small rural ED from a fire in a local …

2023 Term 3 Wk 10 Archived
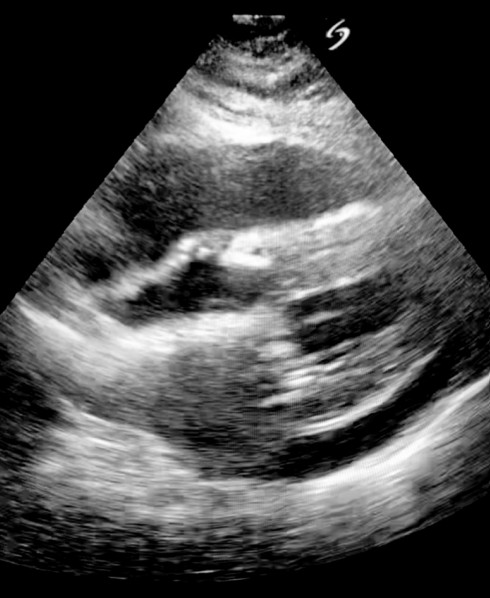
Cardiac tamponade post valve replacement

A 55-year-old man self-presents to your regional ED with new onset shortness of breath on exertion and presyncope post bovine …

2023 Term 3 Wk 7 Archived
Funnel-web spider bite

You are the day consultant in a large regional ED on the east coast of NSW. You have received notice …

2023 Term 3 Wk 7 Archived