Pelvic fracture and haemorrhagic shock

A 35 year old woman is brought to your tertiary ED following a high speed motor bike accident. She is …

2025 Term 4 Wk 4 Archived
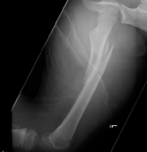
Paediatric femoral shaft fracture transfer

An 11-year-old girl presents to your rural emergency department after a car accident. An X-ray of the left femur is …

2025 Term 2 Wk 10 Archived
Elder abuse

An 83-year-old female, from a non-English speaking background, is brought in with increasing right thigh pain and swelling after falling …

2025 Term 2 Wk 9 Archived
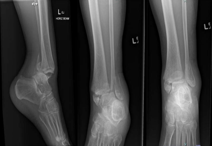
Trimalleolar ankle fracture-dislocation

A 65-year-old female presents to your urban district hospital at 11.30pm having slipped on wet floor and is unable to …

2025 Term 2 Wk 5 Archived
Arm injury

A 35-year-old man presents with a painful right arm after a fall from his jet ski 1 hour prior to …

2025 Term 2 Wk 5 Archived
Pelvic injury

A 37-year-old woman presents following a high speed MVA. Her GCS is 15.

2025 Term 2 Wk 5 Archived
Paediatric elbow injury

A 5-year-old girl presents with a painful elbow following a fall in the playground at school. She is distressed with …

2025 Term 2 Wk 5 Archived
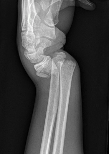
Wrist injury

A 30-year-old male presents to your rural Emerg. Dept. with a painful and swollen right wrist after a fall.

2025 Term 2 Wk 5 Archived
Anterior knee dislocation

A 70-year-old woman presents with knee pain after a fall from standing height. She has a past history of type …

2024 Term 4 Wk 5 Archived
Acute compartment syndrome

A 25-year-old man presents following a motorbike crash with an obvious injury to his left leg. You suspect compartment syndrome.

2024 Term 4 Wk 5 Archived
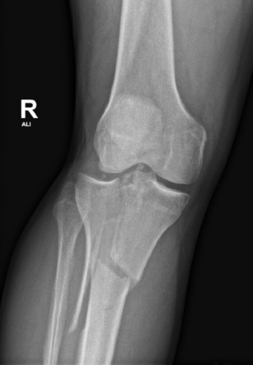
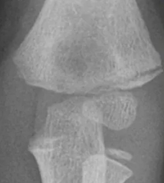
Paediatric lateral condyle fracture

A child is brought in after an unwitnessed fall from monkey bars. She reports left elbow pain with swelling and …

2024 Term 4 Wk 5 Archived
Foot injury

A 20-year-old female is brought in by ambulance after a dirt bike accident. She has a painful and swollen right …

2024 Term 4 Wk 5 Archived
Paediatric distal radius fracture

You are the FACEM in charge working in an urban district mixed emergency department. An 8-year-old boy is brought in …

2024 Term 4 Wk 5 Archived
Septic arthritis and needlestick injury

A 32-year-old male presents with atraumatic unilateral knee pain and swelling.

2024 Term 4 Wk 4 Archived
Paediatric open tibial fracture

A 7-year-old boy is thrown from a horse and sustains isolated injuries to the left lower leg. An image and …

2024 Term 2 Wk 10 Archived
Wrist injury

A 38-year-old man presents with a painful left wrist after a fall on an outstretched hand. X-rays are provided.

2024 Term 2 Wk 10 Archived
Foot injury fall from height

A 24-year-old man presents after falling 3 metres onto his left foot at work. An X-ray of the foot is …

2024 Term 2 Wk 10 Archived
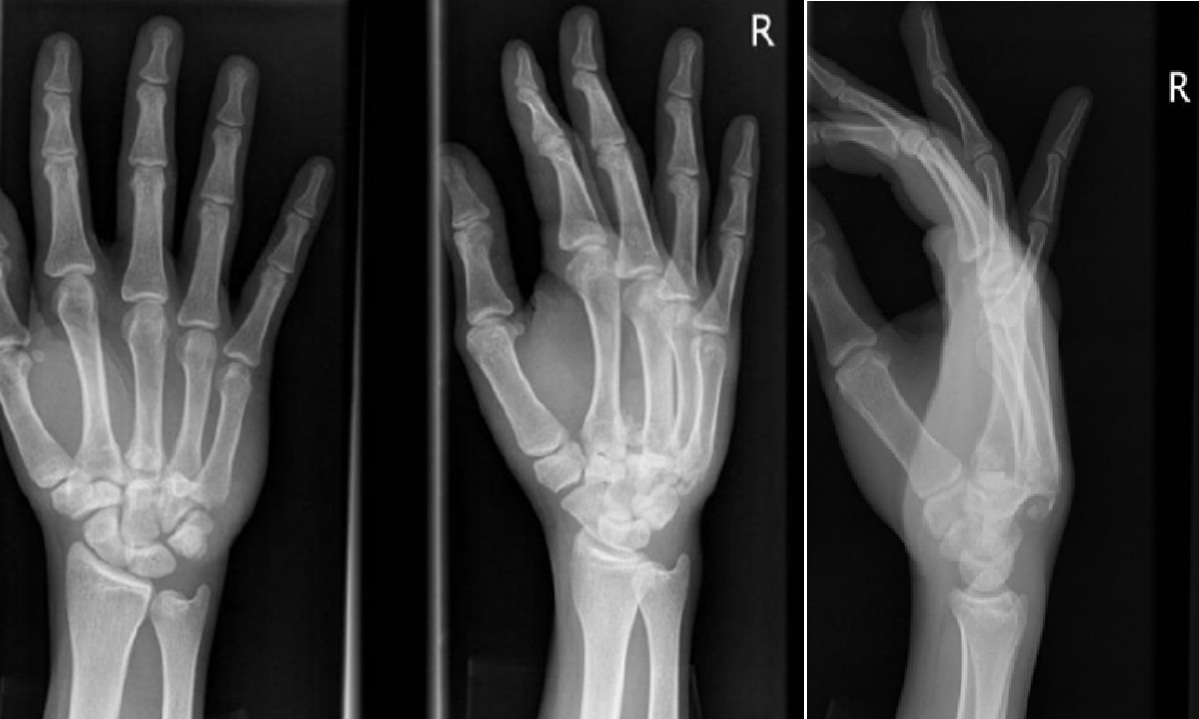
Hand injury

A 20-year-old man presents with a painful right hand after a night out. He cannot recall the mechanism of injury. …

2024 Term 2 Wk 10 Archived
High-energy tibial plateau fracture

A 28-year-old man presents with an isolated right leg injury after a motorbike accident. An X-ray is provided.

2024 Term 2 Wk 10 Archived
Missed Lisfranc injury complaint

You receive a complaint from a patient regarding a missed injury. The patient was discharged from the ED with a …

2024 Term 1 Wk 13 Archived
Arm injury

A 35-year-old man presents with a painful right arm after falling from a jet ski.

2024 Term 1 Wk 6 Archived
Hot swollen ankle

A 55-year-old man presents with acute atraumatic ankle pain and a low-grade fever.

2024 Term 1 Wk 4 Archived
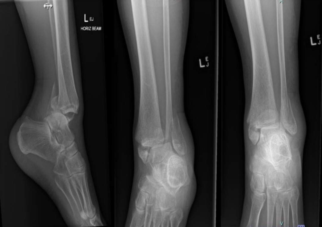
Trimalleolar ankle fracture-dislocation

A 65-year-old woman presents after slipping on a wet floor and is unable to weight-bear on her left ankle. X-rays …

2024 Term 1 Wk 2 Archived
Shoulder dislocation

A 45-year-old man presents after a fall with an abnormal shoulder position. Clinical images and X-rays are provided.

2024 Term 1 Wk 2 Archived