Lateral medullary (Wallenberg) syndrome

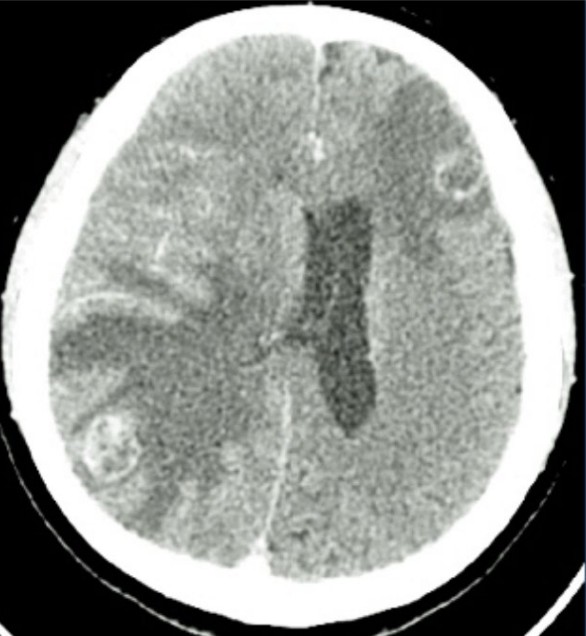
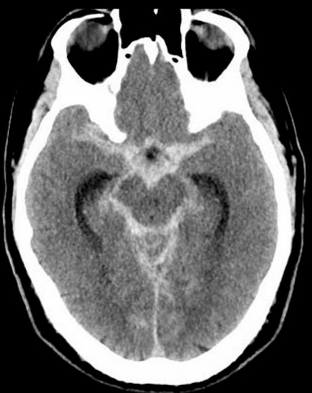
A 69-year-old man has been sent into the Emergency Department by his GP after an outpatient CT scan which shows …

2024 Term 3 Wk 8 Archived
Sudden severe headache

A 34-year-old woman has presented with a sudden onset, severe headache and vomiting. GCS 14 HR 100 BP 190/110 RR …

2024 Term 3 Wk 8 Archived
Hanging

A 52-year-old man is brought to the Emergency Department after a hanging. He was found in PEA arrest with ROSC …

2024 Term 3 Wk 2 Archived
Infant head injury

A 2-month-old baby boy is reviewed after his father slipped while carrying him, resulting in the baby hitting his head …

2024 Term 3 Wk 1 Archived
Paediatric status epilepticus

A 5-year-old boy presents with ongoing tonic-clonic seizure activity.

2024 Term 2 Wk 13 Archived
HIV patient with focal neurological deficit

A 45-year-old man with untreated HIV presents with fever, headache, confusion and right-sided weakness.

2024 Term 2 Wk 12 Archived
Cervical spine injury

A 35-year-old man presents after falling 2 metres from a ladder with severe neck pain. A CT of the cervical …

2024 Term 2 Wk 11 Archived
Central cord syndrome and neurogenic shock

A 68-year-old man falls at home sustaining a facial injury. He has bruising to his hands from landing and cervical …

2024 Term 2 Wk 9 Archived
Epidural haematoma with rural deterioration

A previously well 35-year-old man presents to a rural ED 90 km from the nearest trauma centre following an isolated …

2024 Term 1 Wk 11 Archived
Acute spinal cord injury and intubation

A 28-year-old man is brought to ED following a rugby match with concern for cervical spine injury. He is unable …

2024 Term 1 Wk 8 Archived
Carotid artery dissection

A 34-year-old man presents with sudden onset left-sided neck pain and headache after carrying his child on his shoulders. On …

2024 Term 1 Wk 6 Archived
Acute ischaemic stroke and thrombolysis

A 79-year-old man is brough to ED with a stroke. He has R-sided hemiplegia (arm worse than leg), eyes deviated …

2024 Term 1 Wk 5 Archived
Head injury

You are the consultant in charge of an urban district emergency department. You have just assessed a 42-year-old male who …

2023 Term 4 Wk 13 Archived
Cervical spine injury with neurogenic shock

A 32-year-old man is involved in an amateur mixed martial arts bout and is slammed onto the ground. He complains …

2023 Term 4 Wk 13 Archived
Subarachnoid haemorrhage

A 43-year-old woman arrives via ambulance to your regional ED at 8pm. She had a sudden worsening of a 2-day …

2023 Term 4 Wk 12 Archived
Cauda equina syndrome

A 65-year-old man presents with acute atraumatic lower back pain.

2023 Term 4 Wk 12 Archived
Guillain-Barré syndrome

A previously well 26-year-old woman has presented after developing ptosis this morning which was preceded by a 24-hour history of …

2023 Term 4 Wk 7 Archived
HSV transverse myelitis

A 22-year-old woman presents to your Emergency Department with bilateral lower limb weakness that has progressed within the last 24 …

2023 Term 3 Wk 6 Archived
Seizure

You receive a BAT call of a 34-year-old male from a local shopping centre. When the ambulance arrived he was …

2023 Term 2 Wk 13 Archived
Headache, vomiting and hydrocephalus

A 10-year-old girl presents to your ED with headache and vomiting. She has a history of hydrocephalus and has a …

2023 Term 2 Wk 13 Archived
Acute confusion

A 79-year-old woman presents to your metropolitan ED with acute confusional state. She was last seen well by her family …

2023 Term 2 Wk 9 Archived
LL Weakness

A 25-year-old overseas student presented to ED with 4/7 history of lower limb weakness, She is otherwise well with no …

2023 Term 2 Wk 4 Archived
Neuroleptic malignant syndrome

A 22-year-old male is brought in by ambulance after being found confused at the park. You note in his medical …

2023 Term 2 Wk 3 Archived
Headache and visual changes

A 55-year-old woman presents to the emergency department complaining of headache and visual abnormali es.

2023 Term 2 Wk 2 Archived