Want to track your progress? You can complete this SAQ as a guest, but logging in to a free account lets you save attempts, review scores, and see your progress by category. Log in or create an account .

A 43-year-old woman arrives via ambulance to your regional ED at 8pm. She had a sudden worsening of a 2-day long headache with associated conscious collapse and vomiting while at a restaurant. Her friend thought she may have anaphylaxis so administered her own Epipen to the patient. On initial assessment, her vital signs are within normal limits. She appears agitated and is continuing to vomit profusely.

1. Aside from ondansetron and metoclopramide, prescribe two other antiemetics and list a potentially dangerous side effect for each. 4 marks

β˜… β˜… β˜… β˜… β˜…

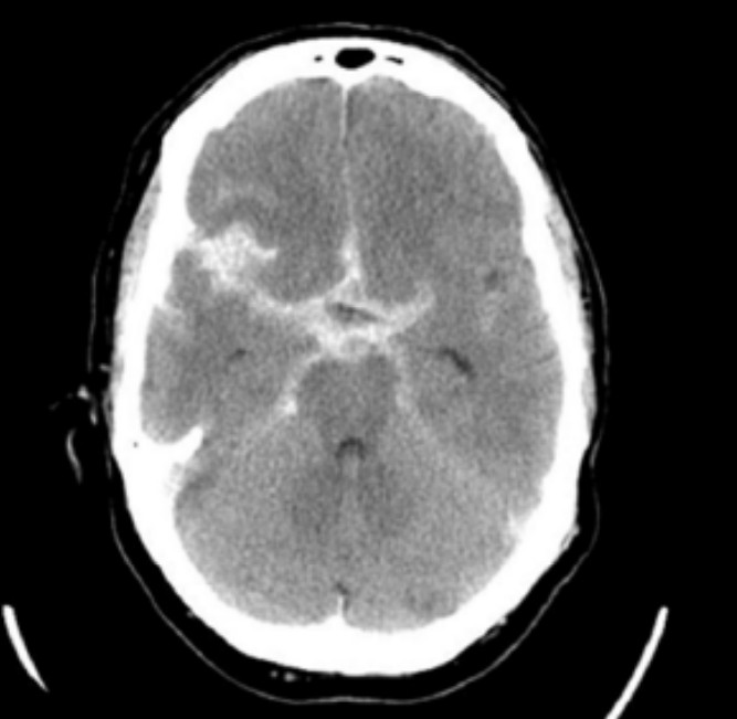
The patient undergoes an urgent CTB.

2. List two CT brain findings on the single non-contrast image. 2 marks

Question image
β˜… β˜… β˜… β˜… β˜…

The patient has a drop in GCS to 6/15 and a decision is made to intubate her

3. Given her diagnosis, list four potential complications during intubation and a prevention measure for each. 8 marks

β˜… β˜… β˜… β˜… β˜…

The patient has been accepted for transfer by road to a neurosurgical centre that is 45 minutes away.

4. Outline four priorities in preparing this patient for transfer. 4 marks

β˜… β˜… β˜… β˜… β˜