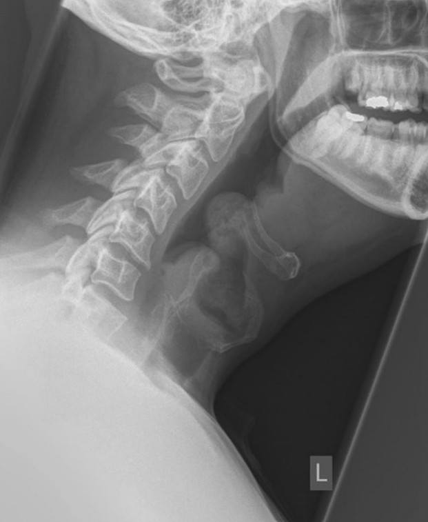
Acquired torticollis

A 6-year-old girl is brought in by her parents with neck pain and stiffness. She is unable to straighten her …

2025 Term 4 Wk 6 Archived
Vertigo and HINTS examination

You are evaluating a patient with vertigo.

2025 Term 3 Wk 6 Archived
Acute mastoiditis

A 12-month-old girl is brought into your Emergency Department with a painful left ear. She has been seen to pull …

2025 Term 3 Wk 5 Archived
Post-tonsillectomy haemorrhage

You are the consultant in charge of a tertiary ED. A 2000h a 3-year-old, 15kg male child presents with his …

2025 Term 3 Wk 5 Archived
Lemierre syndrome

An otherwise well 20-year-old male patient presents with sepsis seven days after developing a severe sore throat. You suspect Lemierre …

2025 Term 3 Wk 5 Archived
Ingested foreign body

A 3-year-old male has presented with a history of an ingested foreign body. He is comfortable and talking normally. His …

2025 Term 2 Wk 7 Archived
Button battery nasal foreign body

A 3-year-old boy has been brought into your Emergency Department with a button battery in his left nostril.

2025 Term 1 Wk 8 Archived
Swollen ear

You are the sole FACEM working in a small rural emergency department without surgical cover. A 13-year-old male presents with …

2025 Term 1 Wk 8 Archived
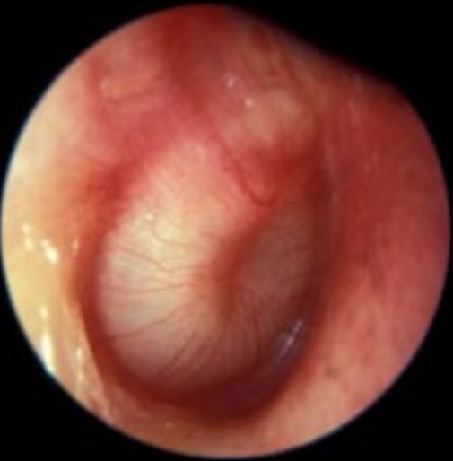
Acute otitis media

A 12-month-old, otherwise well, boy is brought to your emergency department with a 1-day history of fever and is a …

2025 Term 1 Wk 8 Archived
Post-tonsillectomy haemorrhage with shock

An 18-year-old male is brought in by ambulance with several episodes of large volume haemoptysis 10 days post tonsillectomy. He …

2025 Term 1 Wk 3 Archived
Acute facial swelling with fever

A 45-year-old man presents to your emergency department with fever and right-sided facial swelling.

2024 Term 3 Wk 9 Archived
Acute epiglottitis

A 38-year-old man self-presents to your ED with fever, sore throat and stridor. You are concerned about epiglottitis, and he …

2024 Term 3 Wk 9 Archived
Blocked tracheostomy with haemorrhage

A patient with amyotrophic lateral sclerosis presents with sats of 75%, central cyanosis and poor respiratory effort. He has a …

2024 Term 3 Wk 3 Archived
Epistaxis on apixaban

A 76-year-old man self-presents to the Emergency Department with epistaxis. He describes on and off bleeding for most of the …

2024 Term 2 Wk 8 Archived
Ludwig’s angina

A 50-year-old man presents to ED two days post dental extraction with pain on swallowing.

2024 Term 1 Wk 8 Archived
Post-tonsillectomy haemorrhage

You are the consultant in charge of a tertiary ED. A 2000h a 3-year-old, 15kg male child presents with his …

2023 Term 4 Wk 11 Archived
Ear pain

A 12-month-old girl is brought into your Emergency Department with a painful leti ear. She has been seen to pull …

2023 Term 2 Wk 12 Archived