Infant status epilepticus

<p>It is 11pm in your tertiary mixed emergency department and a 4-month-old baby arrives via ambulance with a generalised tonic-clonic …

2025 Term 4 Wk 6 Archived
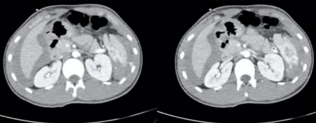
Abdominal trauma

You are working in a level 1 Trauma Centre. You receive ambulance pre-notification regarding a 23-year-old male involved in a …

2025 Term 4 Wk 4 Archived
Pelvic fracture and haemorrhagic shock

A 35 year old woman is brought to your tertiary ED following a high speed motor bike accident. She is …

2025 Term 4 Wk 4 Archived
Facial burn after syncope

A 53-year-old female presents to your rural emergency department after a syncopal episode at home. She collapsed onto an electric …

2025 Term 4 Wk 4 Archived
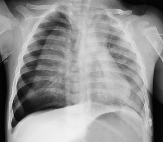
Paediatric polytrauma with tension pneumothorax

A 13 month old girl has been taken to the ED by the ambulance service. She was run over in …

2025 Term 4 Wk 4 Archived
Trauma in pregnancy

A woman is involved in a high speed motor vehicle rash and is brough to your ED. She is 34 …

2025 Term 4 Wk 2 Archived
Open globe injury

A 45 year old man presents to the Emergency Department following an isolated injury to his right eye.

2025 Term 3 Wk 5 Archived
Cervical spine injury

A 35-year-old male presents to your tertiary ED after a mountain biking accident. Paramedics found him lying supine and unable …

2025 Term 3 Wk 4 Archived
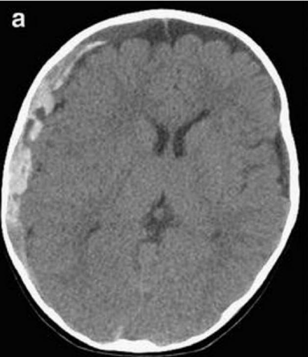
Head injury

A 27-year-old man presents following an assault. He had a GCS of 5 at the scene and has been intubated …

2025 Term 3 Wk 4 Archived
Crush syndrome

A 28-year-old male is brought in by ambulance after an accident on a construction site. An excavator tipped onto its …

2025 Term 2 Wk 12 Archived
Major incident

It is a busy Saturday evening in a tertiary ED where you are working as a junior FACEM. The NUM …

2025 Term 2 Wk 10 Archived
Major incident

You are the FACEM in charge of a tertiary hospital ED. You are informed that a major incident has been …

2025 Term 2 Wk 10 Archived
Frailty and goals of care in geriatric trauma

You are the consultant working in a major trauma centre when an 85 year old man is brought in by …

2025 Term 2 Wk 9 Archived
Minor head injury in toddler

A toddler is brought to your emergency department after a fall. The exact mechanism is unclear but was reported as …

2025 Term 2 Wk 6 Archived
Blunt abdominal trauma

A 28-year-old man is brought into your tertiary ED having been witnessed to jump from a 2nd storey balcony (approximately …

2025 Term 2 Wk 6 Archived
Traumatic limb amputation

A 70 year old male is brought into your tertiary Emergency Department after pre-hospital notification of a suicide attempt by …

2025 Term 2 Wk 6 Archived
Penetrating neck trauma with aerodigestive injury

A 17-year-old man has presented to your rural ED following a quadbike accident where he impacted a wire fence and …

2025 Term 2 Wk 6 Archived
Pelvic injury

A 37-year-old woman presents following a high speed MVA. Her GCS is 15.

2025 Term 2 Wk 5 Archived
Trauma in pregnancy

A 25-year-old female is BIBA following a high speed MVA. She was driving on a highway at 100kph when an …

2025 Term 2 Wk 4 Archived
Back pain, falls and urinary retention

You are the consultant on duty on Saturday evening in a busy major referral Emergency Department. You are approached by …

2025 Term 1 Wk 7 Archived
Retrieval of polytrauma patient

You are a member of a retrieval team tasked by helicopter to retrieve a 25-year-old patient from a small peripheral …

2024 Term 4 Wk 12 Archived
Paediatric scald burn

A mother brings her 7-month-old baby after she accidentally spilled hot water from the kitchen sink onto the baby's neck, …

2024 Term 4 Wk 6 Archived
Facial trauma

A 45-year-old man presents after being assaulted with a metal bar. He has heavy brisk bleeding from the mouth and …

2024 Term 4 Wk 6 Archived
Paediatric blunt chest trauma

You are the resuscitation consultant in a paediatric major trauma centre. A 12-year-old girl is brought in by her parents …

2024 Term 4 Wk 6 Archived