Back pain, falls and urinary retention

You are the consultant on duty on Saturday evening in a busy major referral Emergency Department. You are approached by …

2025 Term 1 Wk 7 Archived
Retrieval of polytrauma patient

You are a member of a retrieval team tasked by helicopter to retrieve a 25-year-old patient from a small peripheral …

2024 Term 4 Wk 12 Archived
Paediatric scald burn

A mother brings her 7-month-old baby after she accidentally spilled hot water from the kitchen sink onto the baby's neck, …

2024 Term 4 Wk 6 Archived
Facial trauma

A 45-year-old man presents after being assaulted with a metal bar. He has heavy brisk bleeding from the mouth and …

2024 Term 4 Wk 6 Archived
Paediatric blunt chest trauma

You are the resuscitation consultant in a paediatric major trauma centre. A 12-year-old girl is brought in by her parents …

2024 Term 4 Wk 6 Archived
Penetrating chest trauma

A 35-year-old man presents following an industrial injury. His vital signs are currently stable.

2024 Term 4 Wk 6 Archived
Acute compartment syndrome

A 25-year-old man presents following a motorbike crash with an obvious injury to his left leg. You suspect compartment syndrome.

2024 Term 4 Wk 5 Archived
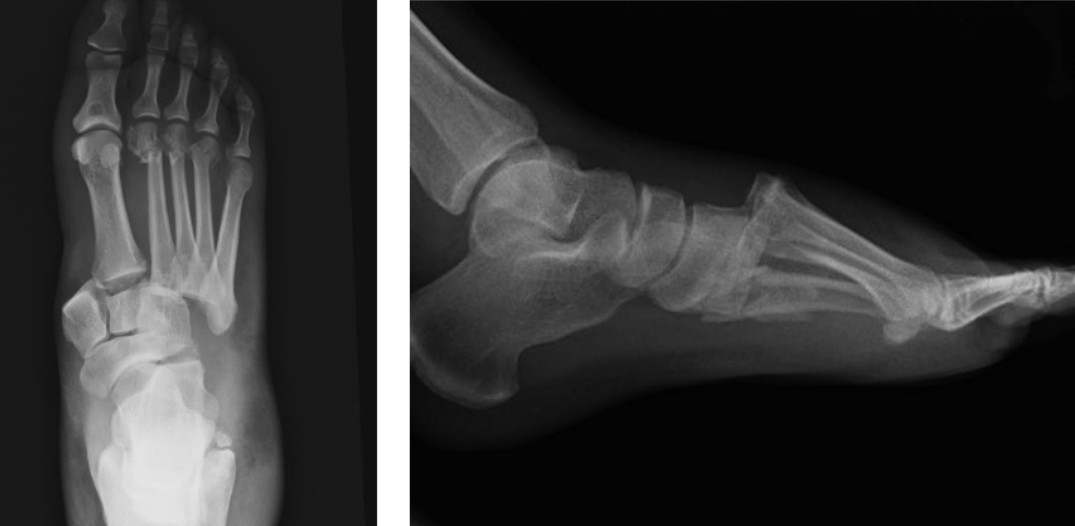
Foot injury

A 20-year-old female is brought in by ambulance after a dirt bike accident. She has a painful and swollen right …

2024 Term 4 Wk 5 Archived
Obstetric trauma in third trimester

A 29-year-old female who is at 30/40 gestation has been involved in a 60km/hr MVA. She is complaining of lower …

2024 Term 4 Wk 1 Archived
Electrical injury

A 40-year-old electrician presents following an electrical injury at work.

2024 Term 3 Wk 12 Archived
Infant head injury

A 2-month-old baby boy is reviewed after his father slipped while carrying him, resulting in the baby hitting his head …

2024 Term 3 Wk 1 Archived
Cervical spine injury

A 35-year-old man presents after falling 2 metres from a ladder with severe neck pain. A CT of the cervical …

2024 Term 2 Wk 11 Archived
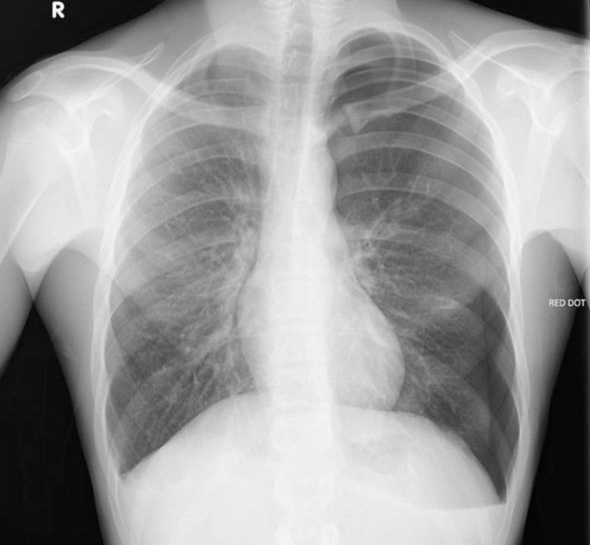
Major burns with inhalation injury

A 23-year-old man is rescued from a fire after being trapped in a storeroom. His obesrvations are : GCS 13 …

2024 Term 2 Wk 11 Archived
Penetrating back injury with renal trauma

A 35-year-old man sustains a single stab wound to the left side of his back. The incoming ambulance team have …

2024 Term 2 Wk 11 Archived
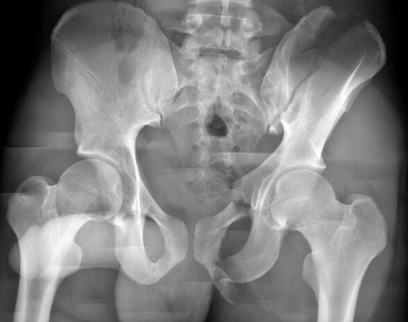
Pelvic trauma with haemorrhagic shock

A 34-year-old man is brought to a tertiary ED after being hit by a car while crossing the street.

2024 Term 2 Wk 11 Archived
Mass casualty incident preparation

A grandstand has collapsed at a football ground with up to 400 injured people. You are the duty consultant in …

2024 Term 1 Wk 11 Archived
Major incident blast injuries

A bomb has detonated at a music concert and a major incident has been declared. Over 40 casualties with blast …

2024 Term 1 Wk 11 Archived
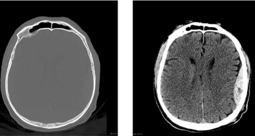
Epidural haematoma with rural deterioration

A previously well 35-year-old man presents to a rural ED 90 km from the nearest trauma centre following an isolated …

2024 Term 1 Wk 11 Archived
Paediatric penetrating trauma cardiac arrest

An 8-year-old boy has been crushed by shelving while playing in a shed. During extrication a piece of metal penetrated …

2024 Term 1 Wk 3 Archived
Trauma in pregnancy

A 29-year-old woman at 33 weeks gestation presents following an MVA (car vs tree at 50 km/h). She was restrained …

2024 Term 1 Wk 3 Archived
Major burns and inhalation injury

A 45-year-old woman is brought to the ED after extrication from a house fire with significant burns and smoke exposure.

2024 Term 1 Wk 3 Archived
Cervical spine injury with neurogenic shock

A 32-year-old man is involved in an amateur mixed martial arts bout and is slammed onto the ground. He complains …

2023 Term 4 Wk 13 Archived
Eye injury

A 21-year-old male presents after sustaining an eye injury while hammering metal at work. An image of the eye is …

2023 Term 4 Wk 13 Archived
Train crash

There has been a collision between a passenger train and a goods train. There are a large number of serious …

2023 Term 3 Wk 10 Archived