Acute testicular torsion

A 26-year-old male presents to your rural emergency department with severe atraumatic left scrotal pain. You suspect a possible acute …

2025 Term 3 Wk 13 Archived
Febrile infant

An otherwise well 5-month-old girl presents to the Emergency Department with fever (39.2°C) for 24 hours, vomiting and reduced feeding.

2025 Term 3 Wk 11 Archived
Flank pain and fever

A 47-year-old man has presented with R-sided flank pain and fever. Two slices from his CT scan are provided below.

2025 Term 3 Wk 11 Archived
Acute kidney injury

A 78 year old man is sent into your ED by their general practitioner with concerns for acute kidney injury …

2025 Term 3 Wk 11 Archived
Acute bacterial prostatitis

A 54-year-old male presents to the Emergency Department with fever, malaise and lower urinary tract symptoms. You suspect he may …

2025 Term 3 Wk 11 Archived
Paediatric urinary retention

A 6-year-old girl is brought in by her mother with abdominal pain and a history of not passing urine for …

2025 Term 3 Wk 11 Archived
Fever and groin pain

You are asked to review an unwell 64-year-old male in your emergency department. A quick review of previous records reveals …

2025 Term 2 Wk 3 Archived
Priapism

A 38 year old man presents with a painful penile erection for the past 4 yours. His medical history includes …

2025 Term 2 Wk 1 Archived
Flank pain and fever in diabetes

A 45 year old diabetic patient presents with 2 days of bilateral flank pain and fever. Tem 38 <ul><li>HR 100</li><li>BP …

2025 Term 2 Wk 1 Archived
Acute kidney injury

A 72-year-old man presents to your Emergency Department with confusion and decreased urine output over the past 48 hours. He …

2025 Term 2 Wk 1 Archived
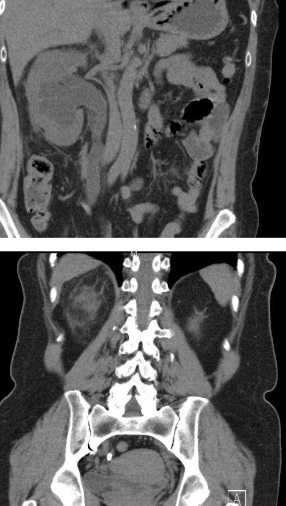
Polycystic kidney disease

A 42-year-old man with known autosomal dominant polycystic kidney disease (PCKD) has presented to the ED with flank pain.

2025 Term 2 Wk 1 Archived
Tumor lysis syndrome

A 59-year-old male was brought to your emergency department by ambulance after suffering a brief tonic-clonic seizure. He has been …

2025 Term 1 Wk 13 Archived
Glomerulonephritis in toddler

A 22-month-old previously well boy presents with one week of periorbital oedema and bilateral leg swelling. He has normal vital …

2024 Term 3 Wk 13 Archived
Ischaemic priapism

A 46-year-old male presents with a 6-hour history of a painful erection.

2024 Term 3 Wk 13 Archived
Peritoneal dialysis peritonitis

A 63-year-old woman with end-stage renal failure on daily peritoneal dialysis presents with abdominal pain. You are concerned about PD …

2024 Term 3 Wk 13 Archived
Acute testicular torsion

A 26-year-old male presents to a rural emergency department with severe atraumatic left scrotal pain. Testicular torsion is suspected.

2024 Term 3 Wk 13 Archived
Obstructing ureteric stone with sepsis

A 34-year-old female presents with sudden onset right flank pain. Limited slices of her CTKUB are shown.

2024 Term 3 Wk 13 Archived
Penetrating back injury with renal trauma

A 35-year-old man sustains a single stab wound to the left side of his back. The incoming ambulance team have …

2024 Term 2 Wk 11 Archived
Abdo pain

A 54-year-old man presents to a tertiary ED with severe right-sided abdominal pain. He has no allergies. Vitals: HR 110/min, …

2024 Term 2 Wk 9 Archived
Exertional rhabdomyolysis

A 54-year-old man presents with tea-coloured urine, myalgia and weakness two days after running a marathon. His vital signs are: …

2024 Term 2 Wk 4 Archived
Acute urinary retention and paraphimosis

A 70-year-old man presents with 24 hours of painful acute urinary retention.

2024 Term 2 Wk 4 Archived
Priapism

A 40-year-old man presents at 11:30 pm with severe pain and distress with an erection present for 3 hours. He …

2023 Term 4 Wk 12 Archived
Paediatric HUS

A 4-year-old boy attends the Emergency Department with a 1-week history of fever and bloody diarrhoea. He is seen by …

2023 Term 3 Wk 6 Archived
Urinary retention

A 70-year-old man presents with suprapubic abdominal pain and an inability to pass urine for 12 hours. There is no …

2023 Term 2 Wk 13 Archived