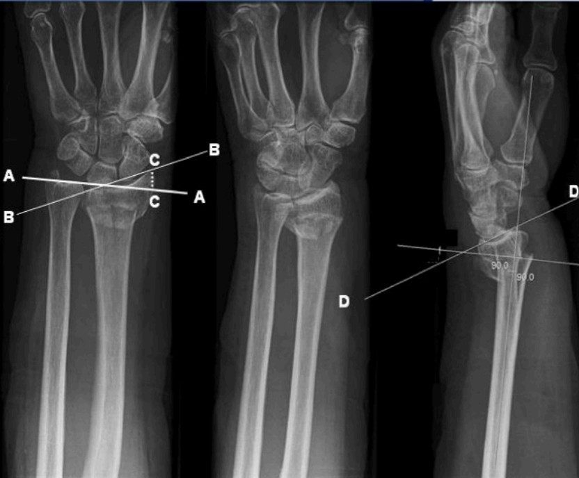
Perilunate wrist dislocation

An 88-year-old man is brought in by ambulance to your emergency department atier a fall down 3 steps onto his …

2024 Term 1 Wk 2 Archived
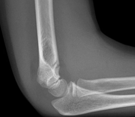
Supracondylar humerus fracture

A 5-year-old girl presents after falling from monkey bars and injuring her right elbow. A lateral X-ray of the elbow …

2024 Term 1 Wk 2 Archived
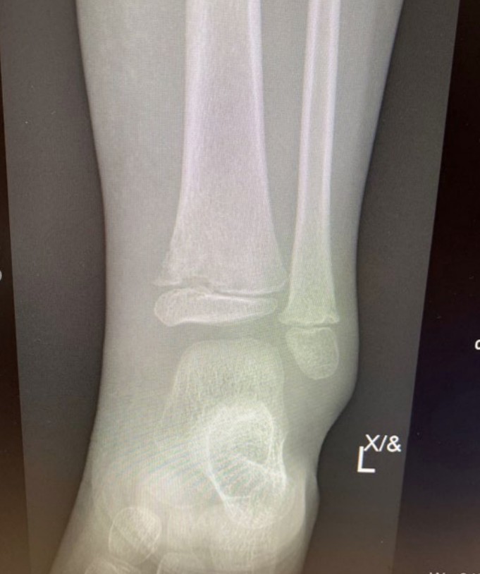
Non-accidental injury – metaphyseal fracture

A 3-month-old boy presents as unsettled. On examination he appears to have a painful leg and an X-ray is performed.

2024 Term 1 Wk 2 Archived
Biers block

A 54-year-old female presents to your Emergency Department with left wrist pain following a trip and fall. She has no …

2023 Term 3 Wk 8 Archived
Pelvic crush injury

A 22-year-old Ubereats delivery man is brought in by retrieval to your tertiary ED having been run over by a …

2023 Term 3 Wk 4 Archived
Femur fracture

A 78-year-old pedestrian male has been knocked over by a cyclist. X-rays are performed.

2023 Term 3 Wk 2 Archived
Toddler limp

A 2-year-old boy is brought to your ED not weight-bearing on his left leg for 5 days, progressively reluctant to …

2023 Term 3 Wk 2 Archived
Rural open fracture

A 34-year-old man has been brought to your rural ED after falling out of a tractor on his farm. He …

2023 Term 3 Wk 2 Archived
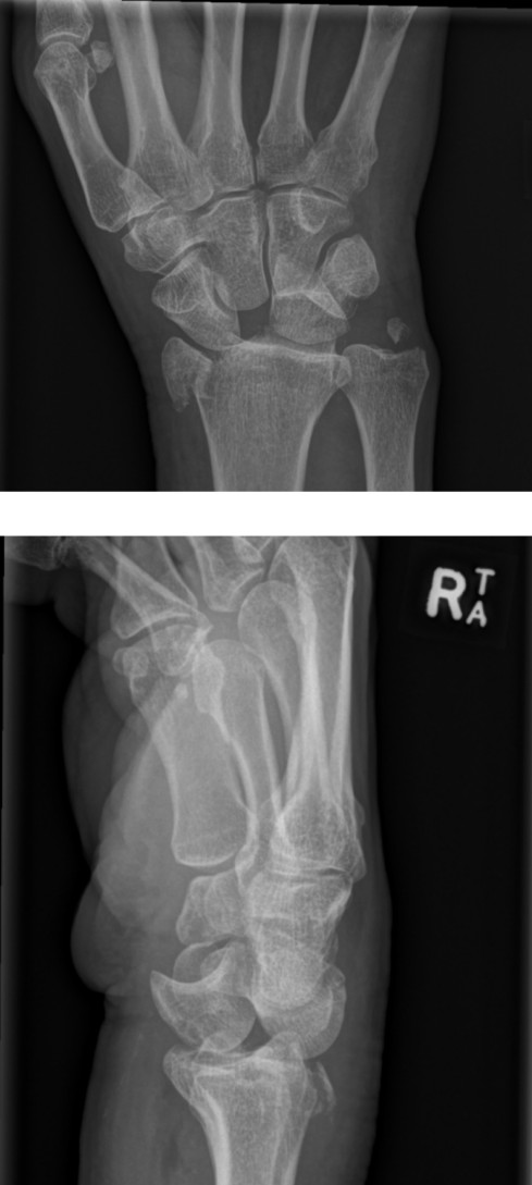
Wrist injury

A 55-year-old woman has fallen and presents with a deformed wrist. Her X-ray is shown below:

2023 Term 3 Wk 2 Archived
Fever and limp

A 2-year-old girl is brought into your ED with 5-days of fevers and limp. Mum states she had first noticed …

2023 Term 2 Wk 11 Archived
Atraumatic knee pain

A 32-year-old male presents with atraumatic unilateral knee pain and swelling.

2023 Term 1 Wk 6 Archived
FOOSH injury

A 25-year-old man has presented to the ED after falling 2m off a balcony onto his outstretched left hand.

2023 Term 1 Wk 3 Archived
Elbow injury

You are the ED consultant in a regional centre when a 30-year-old male presents with an isolated left elbow injury …

2023 Term 1 Wk 3 Archived
Knee dislocation

A 69-year-old obese female is brought in by ambulance with severe pain to her right knee and inability to weight …

2023 Term 1 Wk 3 Archived
Compartment syndrome

You are called to see patient in your department who is awaiting orthopaedic admission for a complex lower leg fracture …

2023 Term 1 Wk 3 Archived