Acquired torticollis

A 6-year-old girl is brought in by her parents with neck pain and stiffness. She is unable to straighten her …

2025 Term 4 Wk 6 Archived
Infant status epilepticus

<p>It is 11pm in your tertiary mixed emergency department and a 4-month-old baby arrives via ambulance with a generalised tonic-clonic …

2025 Term 4 Wk 6 Archived
Eclampsia and hypertensive emergency

You are the FACEM in charge in a tertiary ED. A 37-year-old woman, 35 weeks’ gestation, is brought in after …

2025 Term 4 Wk 2 Archived
VP shunt complication

A 10-year-old girl presents to your ED with headache and vomiting. She has a history of hydrocephalus and has a …

2025 Term 3 Wk 6 Archived
Vertigo and HINTS examination

You are evaluating a patient with vertigo.

2025 Term 3 Wk 6 Archived
Cervical spine injury

A 35-year-old male presents to your tertiary ED after a mountain biking accident. Paramedics found him lying supine and unable …

2025 Term 3 Wk 4 Archived
Parkinson's and fever

A 75-year-old man with advanced Parkinson’s disease presents to the ED with fever, worsening rigidity, and confusion. He has had …

2025 Term 3 Wk 4 Archived
Progressive weakness

A 45-year-old man presents to the ED with progressive weakness, difficulty swallowing, and shortness of breath. He has no history …

2025 Term 3 Wk 4 Archived
Head injury

A 27-year-old man presents following an assault. He had a GCS of 5 at the scene and has been intubated …

2025 Term 3 Wk 4 Archived
Lumbar puncture

You have just performed a Lumbar Puncture on a 45 year old man with a 2 day history of a …

2025 Term 3 Wk 4 Archived
Interhospital transport

A 56-year-old male with a suspected subarachnoid haemorrhage in a regional hospital requires urgent transfer to a tertiary neurosurgical centre.

2025 Term 2 Wk 10 Archived
HIV with fever, cough and confusion

A 45-year-old man known to be HIV positive, presents to your department with fever, nonproductive cough, weight loss and mild …

2025 Term 2 Wk 3 Archived
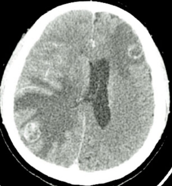
Seizure with ring-enhancing brain lesions

You receive a BAT call of a 34-year-old male from a local shopping centre. When the ambulance arrived, he was …

2025 Term 1 Wk 7 Archived
Back pain, falls and urinary retention

You are the consultant on duty on Saturday evening in a busy major referral Emergency Department. You are approached by …

2025 Term 1 Wk 7 Archived
Intermittent diplopia

A 32-year-old female presents with intermittent diplopia. She describes no other symptoms. She has no past medical history. Your abnormal …

2025 Term 1 Wk 7 Archived
PNES and status epilepticus management

A 39-year-old woman has been brought into your tertiary ED with 2 x “seizure-like” episodes, each lasting approximately 1 minute. …

2025 Term 1 Wk 7 Archived
Ischaemic stroke thrombolysis complications

A 78-year-old woman presents to ED with acute onset dysphasia and right upper limb weakness. CT imaging is consistent with …

2025 Term 1 Wk 7 Archived
Seizure due to severe hyponatraemia

A 64-year-old female presents with an altered conscious state following a seizure. Initial ABG shows pH 7.32, PCO2 31 mmHg, …

2025 Term 1 Wk 3 Archived
Paediatric extradural haematoma transfer

A 6-year-old boy presents after being struck on the side of the head by a baseball. He has an isolated …

2024 Term 4 Wk 12 Archived
Acute confusion in an older adult

A 70-year-old female is brought in acutely confused. She is normally independent in her activities of daily living but has …

2024 Term 4 Wk 11 Archived
Neuroleptic malignant syndrome

A 24-year-old female is brought in by ambulance with fever and altered mental status. Paramedics report a psychiatric history, details …

2024 Term 3 Wk 12 Archived
Ventriculoperitoneal shunt failure

A 21-year-old woman with a VP shunt presents with worsening headache, nausea, lethargy and reduced GCS. Obs on arrival : …

2024 Term 3 Wk 8 Archived
Acute spinal cord compression

A 62-year-old man is brought to your Emergency Department by ambulance with flaccid paralysis of all four limbs without preceding …

2024 Term 3 Wk 8 Archived
Acute vertigo

A 79-year-old man presents to your Emergency Department with acute vertigo.

2024 Term 3 Wk 8 Archived