Disseminated intravascular coagulation

A 46-year-old man is brought in by ambulance having been unwell for the past 3 days with fever, abdominal pain …

2025 Term 3 Wk 13 Archived
Non blanching rash

A 5-year-old girl is brought to the Emergency Department by her parents with a non-blanching rash that has appeared overnight. …

2025 Term 3 Wk 9 Archived
Cough, fever and unable to lie flat

A 6-year-old girl presents to a large mixed ED with 2 weeks of cough and intermittent fever. For the past …

2025 Term 3 Wk 9 Archived
Hypercalcaemia

A 56-year-old woman is brought into your tertiary ED by her partner with confusion. Her past history includes hypertension, dyslipidemia …

2025 Term 3 Wk 1 Archived
Fever and bloody diarrhoea

A 4-year-old boy attends the Emergency Department with a 1-week history of fever and bloody diarrhoea. He is seen by …

2025 Term 2 Wk 1 Archived
Blood transfusion reaction

You have been asked to review a 63-year-old female who is receiving a blood transfusion in your Emergency Department for …

2025 Term 1 Wk 13 Archived
Tumor lysis syndrome

A 59-year-old male was brought to your emergency department by ambulance after suffering a brief tonic-clonic seizure. He has been …

2025 Term 1 Wk 13 Archived
Haemophilia A haemarthrosis

A 10-year-old boy with known Haemophilia A presents to the emergency department with an atraumatic painful knee. He is systemically …

2024 Term 4 Wk 2 Archived
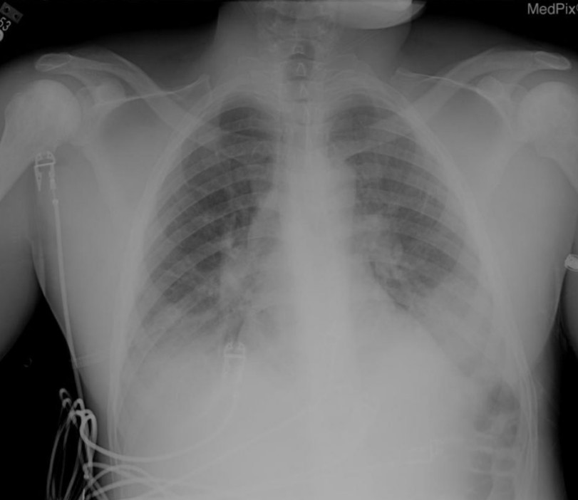
Febrile neutropenia

A 72-year-old man presents with fever and shock 7 days after chemotherapy for pancreatic cancer. <ul><li>HR 120</li><li>BP 90/40</li></ul> T 38.5 …

2024 Term 4 Wk 2 Archived
Hypercalcaemia

A 72-year-old man presents with 6 weeks of progressive low back pain, fatigue and renal impairment. Blood results show creatinine …

2024 Term 4 Wk 2 Archived
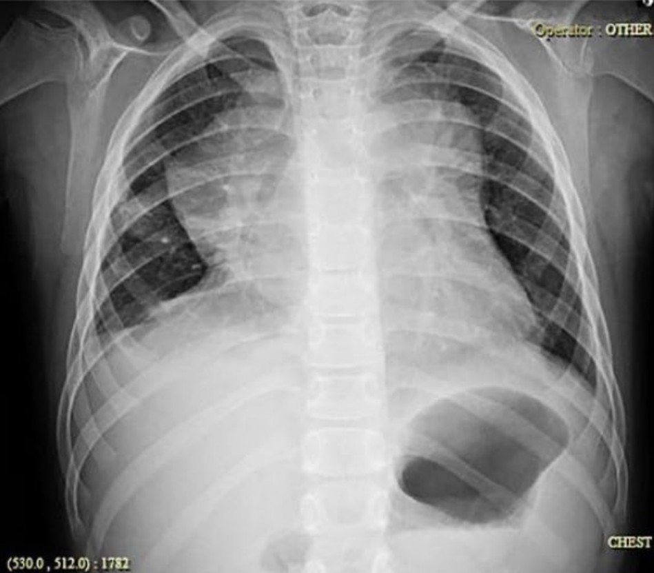
Chest pain in sickle cell disease

A 25-year-old man with sickle cell disease presents with non-productive cough, severe central chest pain and hypoxia. Vitals are as …

2024 Term 3 Wk 6 Archived
Jaundice

A 47-year-old male presents to your ED complaining of a change in his skin colour. He has no known past …

2024 Term 2 Wk 13 Archived
Unwell after chemotherapy

A 16-year-old male presents feeling unwell after chemotherapy. Na 135 K 6.7 HCO3 23 Urea 15 Creat 220 Glu 6.5 …

2024 Term 2 Wk 13 Archived
Epistaxis on apixaban

A 76-year-old man self-presents to the Emergency Department with epistaxis. He describes on and off bleeding for most of the …

2024 Term 2 Wk 8 Archived
Pancytopenia and transfusion reactions

A 77-year-old male presents with lower back pain after a recent minor trip. He has a normal lower limb neurological …

2024 Term 1 Wk 5 Archived
Paediatric HUS

A 4-year-old boy attends the Emergency Department with a 1-week history of fever and bloody diarrhoea. He is seen by …

2023 Term 3 Wk 6 Archived
Checkpoint inhibitor colitis

A 63-year-old male comes into your ED. Hey! You’ve met him before; metastatic melanoma, brain mets, pretty much coning then, …

2023 Term 3 Wk 6 Archived
Transfusion reaction

You have been asked to review a 63-year-old female who is receiving a blood transfusion in your Emergency Department for …

2023 Term 1 Wk 7 Archived