Elder abuse

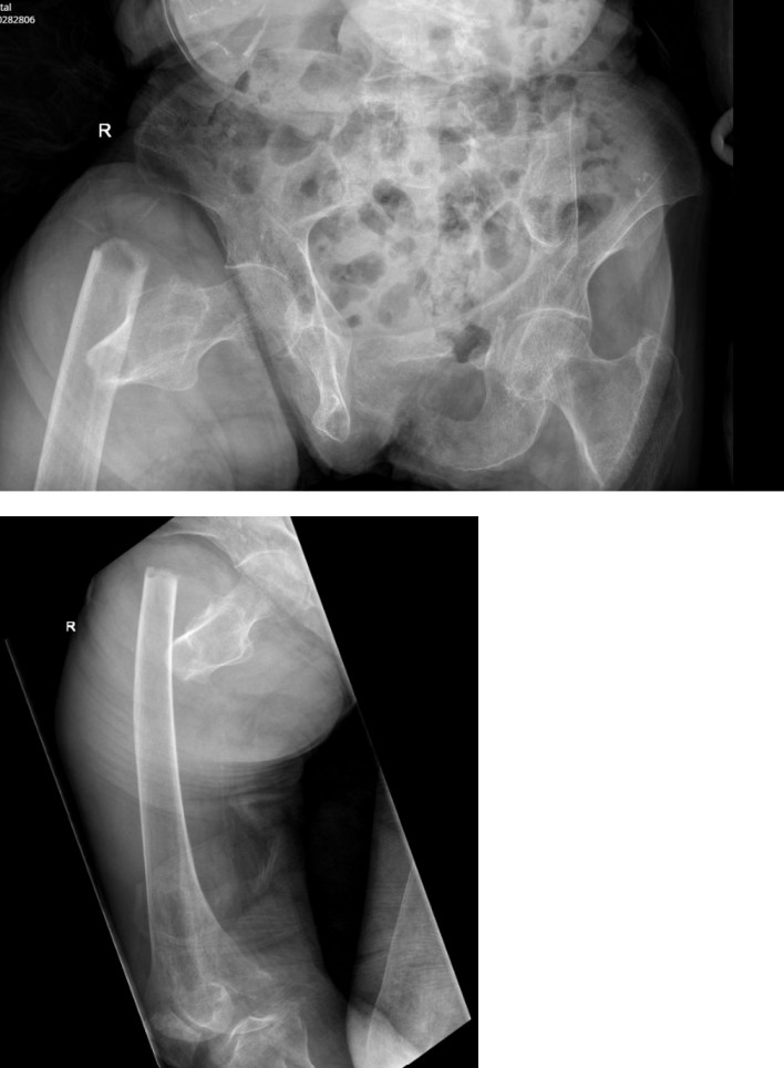
An 83-year-old female, from a non-English speaking background, is brought in with increasing right thigh pain and swelling after falling …

2025 Term 2 Wk 9 Archived
UTI and dementia

An 80-year-old male, with a history of dementia, from a residential aged care facility (RACF), is referred to your ED …

2025 Term 2 Wk 9 Archived
Delirium with agitation in an older patient

An 87-year-old lady is brought in from home with confusion. Her daughter has been contacted by phone and reports that …

2025 Term 2 Wk 9 Archived
Frailty and goals of care in geriatric trauma

You are the consultant working in a major trauma centre when an 85 year old man is brought in by …

2025 Term 2 Wk 9 Archived
Advanced care directives in emergency care

A 75-year-old woman presents to the emergency department (ED) via ambulance following a witnessed collapse at home. She has a …

2024 Term 4 Wk 13 Archived
Elder abuse assessment

An 83-year-old man is brought in from home following a fall three days prior. He lives with his son who …

2024 Term 4 Wk 11 Archived
Acute confusion in an older adult

A 70-year-old female is brought in acutely confused. She is normally independent in her activities of daily living but has …

2024 Term 4 Wk 11 Archived
Older patient safety in the emergency department

Your Emergency Department Director has asked you to provide input into developing standards of care for older people attending the …

2024 Term 4 Wk 11 Archived
Elderly fall with metabolic derangement

An 82-year-old woman has been found on the floor at home following a fall 24 hours prior. <ul><li>GCS 14</li><li>HR 115</li><li>HR …

2024 Term 4 Wk 11 Archived
Suicidal ideation in older male

A 74-year-old man is brought in by his neighbour with malaise and abdominal pain. Medical workup is benign, but during …

2024 Term 3 Wk 10 Archived
Elderly abdominal pain

An 80-year-old patient from a high-level care nursing home presents with constipation, abdominal distension and confusion.

2024 Term 3 Wk 7 Archived
Older persons

Your Emergency Department Director has noted your previous clinical acumen in caring for older people. They have asked you to …

2023 Term 4 Wk 7 Archived
Found down

A 63-year-old female is BIBA to your ED atier being found face down on the floor in her home. She …

2023 Term 2 Wk 8 Archived
Elderly fall off ladder

A 75-year-old man is brought to the Emergency Department following a fall approximately 1.5m off a ladder. He reports hiting …

2023 Term 1 Wk 5 Archived