Want to track your progress? You can complete this SAQ as a guest, but logging in to a free account lets you save attempts, review scores, and see your progress by category. Log in or create an account .

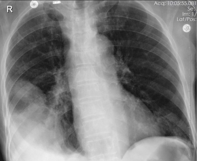
A 78-year-old woman presents with breathlessness. She completed a course of antibiotics for a mild pneumonia 1 week ago. Her history is significant only for hypertension and hypothyroidism. She stopped smoking 45 years ago.

Breathless after Pneumonia

1. What is the abnormality on this X-ray? 1 mark

β˜… β˜… β˜… β˜… β˜…

2. What pathogen is likely responsible for this and why? 2 marks

β˜… β˜… β˜… β˜… β˜…

3. Other than your above stated pathogen outline list (3) other pathogens which can cause a community pneumonia and the patient group most likely to be affected 3 marks

β˜… β˜… β˜… β˜… β˜…

4. List (1) advantage and (1) disadvantage of the pneumonia scoring systems in the table below 6 marks

β˜… β˜… β˜… β˜… β˜…

You repeat a CXR.

5. With regard to pleural effusions, complete the table below comparing transudates and exudates. 4 marks

Question image
β˜… β˜… β˜… β˜… β˜…

6. What are (2) other features of the fluid which would make an empyema more likely? 2 marks

β˜… β˜… β˜… β˜… β˜