Want to track your progress? You can complete this SAQ as a guest, but logging in to a free account lets you save attempts, review scores, and see your progress by category. Log in or create an account .

You are the supervising consultant in a metropolitan tertiary ED. Your junior registrar has come to you asking for advice about a positive mycoplasma pneumoniae NAT swab result for a patient they had discharged the day prior. The patient is a 6-year-old girl with a three-day history of cough and fever. There were no focal findings on chest examination and she was well appearing in ED. She is fully immunised with no significant past medical history. She has no allergies or travel history. She weighs 20 kg.

1. List three distinct extrapulmonary features of Mycoplasma pneumoniae. 3 marks

β˜… β˜… β˜… β˜… β˜…

The registrar call’s the child’s mother. The child has been well but isstill coughing and febrile.

2. What antimicrobial treatment would you prescribe? Please be specific regarding dose, route and duration. Justify your choice. 2 marks

β˜… β˜… β˜… β˜… β˜…

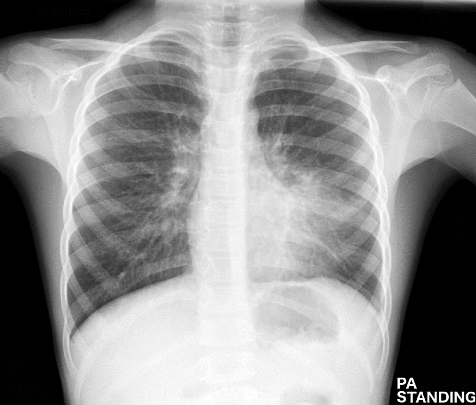
The mother brings the child to ED later in the shift. The child has become more unwell and looks flat but conversive. There is no stiff neck or photophobia. Urinalysis is unremarkable. T 39.5 RR 44 SpO2 88% RA --> 94% 4LNP HR 145 BP 95/50

3. Describe the most CXR significant finding and an overarching diagnosis. 2 marks

Question image
β˜… β˜… β˜… β˜… β˜…

4. What antimicrobial treatment would you prescribe now? Please be specific regarding dose and route. 2 marks

β˜… β˜… β˜… β˜… β˜…

Your registrar asks about another patient with a positive swab for mycoplasma pneumoniae. This patient was a 4 year old boy with a sore throat, runny nose and bilateral reddened tympanic membranes. She has called the family and the child is well.

5. What antimicrobial therapy would you recommend in this situation? Please provide a justification for your choice. 2 marks

β˜… β˜… β˜… β˜… β˜