Want to track your progress? You can complete this SAQ as a guest, but logging in to a free account lets you save attempts, review scores, and see your progress by category. Log in or create an account .

A 24-year-old woman presents with abdominal pain and vaginal bleeding. Her last menstrual period was eight weeks ago and pregnancy status is unknown.

1. State the discriminatory quantitative beta-hCG levels for transvaginal and transabdominal ultrasound. 2 marks

β˜… β˜… β˜… β˜… β˜…

2. Describe the relevance of serum beta-hCG level to ultrasound interpretation and management. 4 marks

β˜… β˜… β˜… β˜… β˜…

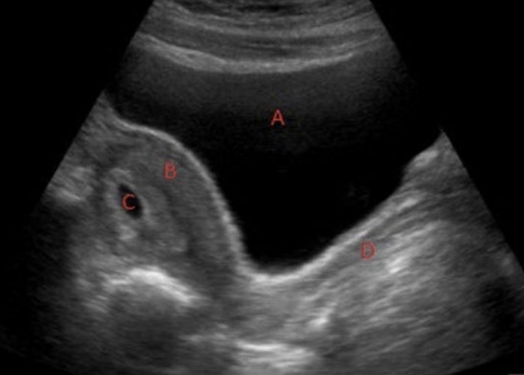
Her bHCG level returns at 7400IU/L.

3. Identify the labelled structures on the ultrasound image. 4 marks

Question image
β˜… β˜… β˜… β˜… β˜…

4. List two ultrasound features of failed pregnancy. 2 marks

β˜… β˜… β˜… β˜… β˜