Want to track your progress? You can complete this SAQ as a guest, but logging in to a free account lets you save attempts, review scores, and see your progress by category. Log in or create an account .

A 45-year-old male hasjust arrived in your resus bay. He has been transferred by ambulance from a rural hospital for surgical management of a suspected left lung abscess. He was admitted to hospital five days ago with symptoms of pneumonia and an x-ray showing a cavitating lung lesion. His condition has not improved with IV antibiotics. Just prior to arrival at your hospital he complained of sudden onset severe shortness of breath and left-sided chest pain. He appears in extremis, anxious, diaphoretic and is taking shallow breaths. His vital signs are RR 50, SpO2 55% RA 75% 15L NRB, HR 130 regular, BP 127/87, T 37˚C

1. List four possible life-threatening differential diagnoses and two ultrasound findings for each. 4 marks

β˜… β˜… β˜… β˜… β˜…

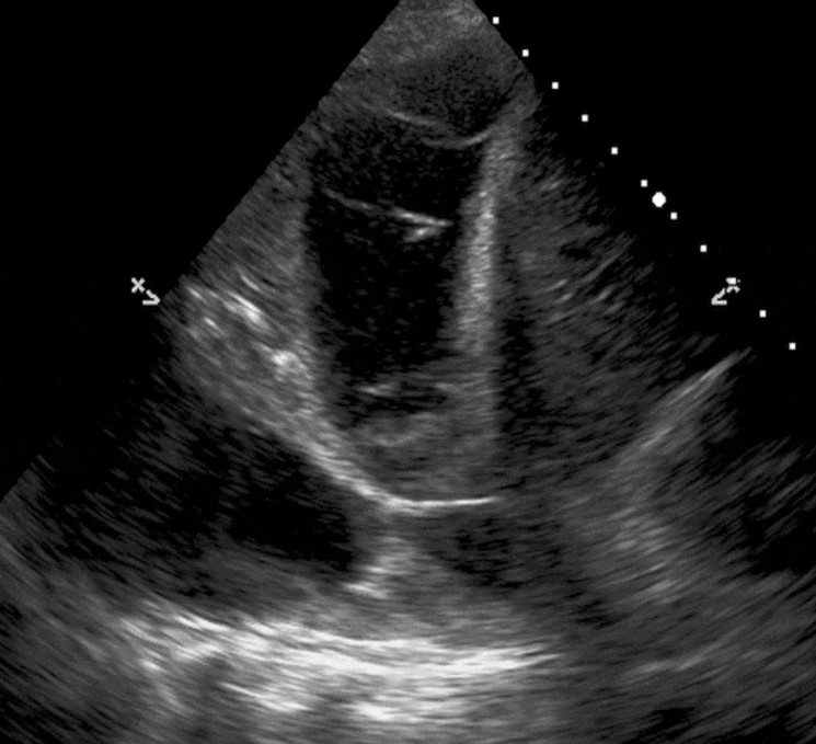
A view from your bedside ultrasound is shown.

2. Describe two relevant findings from the bedside ultrasound. 2 marks

Question image
β˜… β˜… β˜… β˜… β˜…

The patient requires CT scan for further investigation of lung pathology and to formally exclude PE, but requiresintubation in order to safely facilitate this. The resuscitation team express concern that the patient is likely to arrest on induction.

3. Outline your approach to managing this physiologically difficult intubation. 6 marks

β˜… β˜… β˜… β˜… β˜