Want to track your progress? You can complete this SAQ as a guest, but logging in to a free account lets you save attempts, review scores, and see your progress by category. Log in or create an account .

You are the ED consultant in a tertiary hospital with a mixed ED. A 10-year-old boy has been hit by a car travelling at 80 km/h and has arrived in your Resus room. Primary survey notes: Airway patent; C-spine protected using sandbags and tape; right-sided abrasions/bruising to face/chest/abdomen with chest wall and abdominal tenderness; no obvious evidence of significant external haemorrhage. Observations on arrival: HR 148 bpm; BP 82/58 mmHg; RR 30 bpm; Sats 91% RA; CRT 4 secs, peripheries cool and mottled; GCS 13 (E3, V4, M6).

1. Calculate an estimated weight for the patient. 1 mark

β˜… β˜… β˜… β˜… β˜…

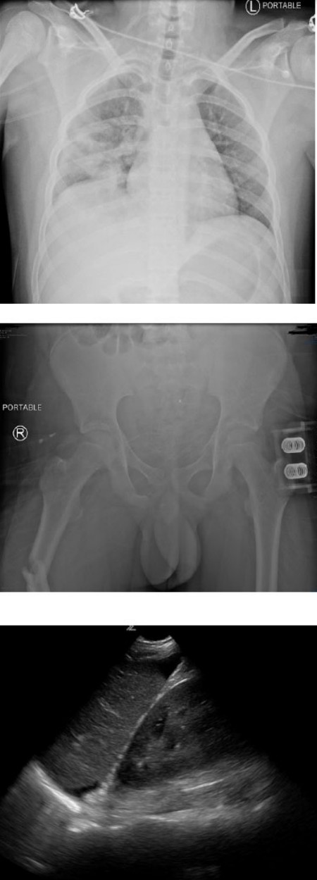
During primary survey, GCS deteriorates to 7 (E1, V2, M4) and decision is made to intubate. A skeletal survey and eFAST are performed with images shown in the PDF.

2. Complete the table below for ETT size/depth, induction agent and muscle relaxant doses including doses and calculations where appropriate. 4 marks

β˜… β˜… β˜… β˜… β˜…

A skeletal survey and eFAST are performed.

3. List (4) significant diagnoses for this patient and your clinical reasoning for your diagnoses. 8 marks

Question image
β˜… β˜… β˜… β˜… β˜…

His left pupil has now become dilated, 7mm and unreactive.

4. State (1) medication and the dose you would give. 1 mark

β˜… β˜… β˜… β˜… β˜…

His abdomen has become distended, and his BP is now 72/50

5. List (4) transfusion targets, blood products and volumes you would give (assuming no ROTEM available). 4 marks

β˜… β˜… β˜… β˜… β˜